Cedar Lake Dental
Maureen Copeland DDS

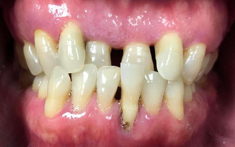
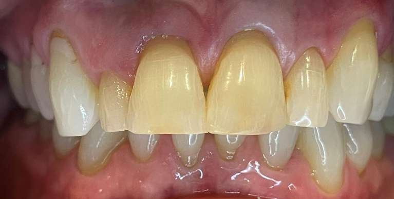
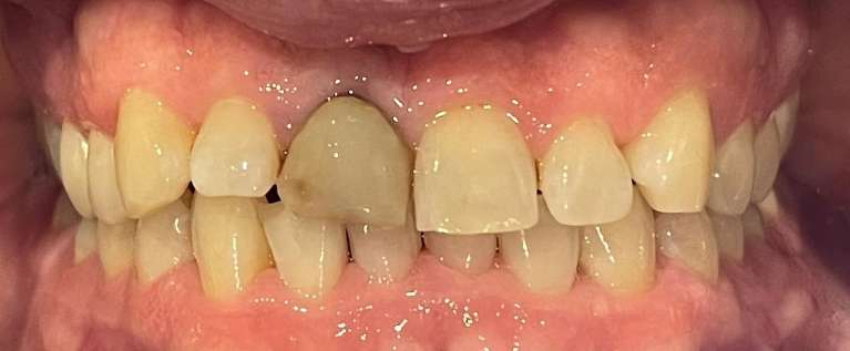
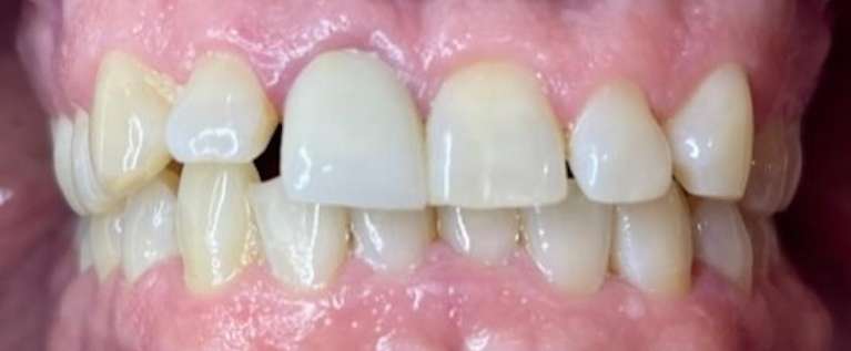
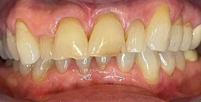
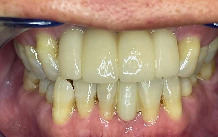
Smile Gallery

View our smile gallery photos and discover what's possible for you!

Ready to book an appointment?
Smile Gallery Categories
I definitely recommend this office.

Dr. Copeland & Amber were very welcoming and friendly. Gina was my dental hygienist, she was amazing! I felt very comfortable with her. She explained everything very well. The best dental experience I’ve ever had. I definitely recommend this office. Great patient care.
-Brenda B.
 

If you have difficulty using our website, please email us or call us at (847) 201-1102
View the ADA Accessibility Statement
Privacy Policy